
Nuestro trabajo
En Blent Clinic, nos dedicamos al detalle y profesionalismo en cada paciente, documentando todo su proceso desde la primera cita para así poder ver el trabajo de antes y después, a su vez, poder continuar con un seguimiento después de meses de haber realizado el trabajo.

Esa pieza se decide extraer, anteriormente lo que se hacía era esperarse quitarse el diente, esperar a que el paciente sanara.
Dos meses después se hace la colocación del implante y dos o tres meses después de la colocación del diente. Entonces, para hacer eso, el paciente está pasando por tres cirugías. Lo que hacemos actualmente es en la misma cinta que el paciente se extrae el diente se va a colocar una guía para realizar la colocación del implante.
Sí, es muy importante hacer la planeación de estas guías porque es lo que asegura la posición del implante, que este en la posición correcta para que el diente pueda estar también en la posición correcta.
Una vez que colocamos el implante hacemos la colocación del diente provisional. Todo esto se hace en la misma cita, lo que le ahorra al paciente tiempo y el tiempo de cirugías también. Ese es el resultado. El mismo día de la cirugía, cuando el paciente se lleva la extracción, la colocación del implante y su diente provisional.

01
Caso de Implante Dental
Los casos de implantes no es un tratamiento tan invasivo como se cree o se piensa. El tratamiento de implantes es algo mínimamente invasivo. Es la manera que lo manejamos ahora. Tenemos aquí el caso de un paciente que ha perdido una pieza dental por un golpe.



02
Caso de Coronas
Un caso muy frecuente que tenemos en la consulta es el cambio de coronas.
Hay pacientes que hace tiempo se realizaron coronas de materiales con los materiales que se usaban anteriormente y los pacientes en ese momento, ya después de años presentan esa situación.




Una zona gris, una zona oscura en la parte de la encía ocasionado por el color del metal y también atrapamiento de comida alrededor de las coronas que esas coronas se están filtrando, se está pasando alimento.
El paciente puede tener sensibilidad o esto le puede provocar caries, pues es necesario cambiarlos no solo por el aspecto estético.
Cuando nosotros analizamos estos casos, observamos que el material de metal está afectando el diente, afectando la porción de la encía y está causando una presión en los dientes laterales. Si analizamos la forma estética de estos dientes, están muy desproporcionados en relación a los dientes de al lado y el color no es tan parecido a los dientes de al lado tampoco.
Para estos casos realizamos el retiro de las coronas anteriores y realizamos nuevas coronas con los materiales de ahora libres de metal, materiales cerámicos, materiales mucho más estéticos y obtenemos resultados como este. El color es muy parecido a los dientes naturales y la proporción es mucho mejor para el paciente y lo podemos observar en la fotografía de sonrisa.
Si comparamos el antes de este paciente donde ni siquiera podía mostrar sus dientes con el después, vemos algunas zonas inflamadas porque es el primer día que se colocan, pero la encía tiende a recuperarse a las dos o tres semanas.


03
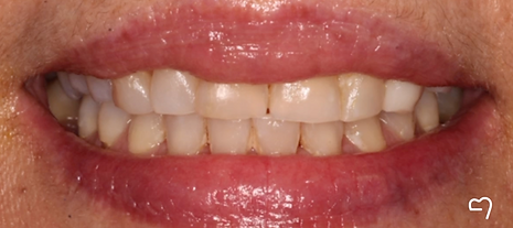
Caso de Carillas
Este caso es una paciente que llega por carillas y está buscando un tratamiento estético porque no le gusta el aspecto de su sonrisa. Una pregunta muy frecuente en los pacientes de carillas es la cantidad de carillas.
¿Cuántas carillas voy a necesitar en el caso de ella? ¿Cómo lo analizamos?
Por la cantidad de dientes que ella muestra, si observamos la sonrisa de este paciente se muestra desde estos dientes que ya son molares hasta los molares del otro lado. Es un caso de al menos diez carillas, así es como determinamos primero la cantidad de carillas.
En esa fotografía nos sirve para analizar los detalles que queremos corregir en el caso de esa paciente, por ejemplo, el largo de los dientes y la dirección de los dientes, vemos dientes ondulados y vemos un cambio de color del lado derecho.

Para eso nos ayudamos con este tipo de fotografías, también fotografías de retracción donde podemos explicar al paciente exactamente que tipo de restauraciones necesita para su caso.
Por ejemplo, el caso de ella, tiene tres dientes de un color diferente porque ya tiene un trabajo, tiene dos dientes con desgaste, tiene también unos dientes muy cortos que se puede mejorar y el cambio de color de sus piezas no coinciden entre ellos.
Con un trabajo de carillas combinando diferentes materiales, podemos mejorar su aspecto estético.
Ese es el caso de nuestro paciente ya terminado ¿Qué utilizamos aquí? Cambiamos su restauraciones anteriores, mejoramos la proporción de los dientes, hicimos los dos dientes de enfrente más largos y mejoramos también la forma de su sonrisa. Algo muy importante en este tipo de casos es que no sólo podemos cambiar la forma de los dientes, sino con las restauraciones, con las carillas, podemos mejorar la forma y el movimiento del labio.
Si ustedes se fijan en la foto, en la foto inicial de la paciente, no muestra mucho sus dientes, pero haciendo las restauraciones un poco más gruesas hacia enfrente, mejoramos la posición del labio y muestra una sonrisa más amplia.




